C/ Postigo de Tenerías Nº 2, 1º 976881500

Dentista Calatayud : Caso corregido ortodoncia invisible

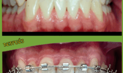
Caso corregido con ortodoncia invisible por la Dra.Beatriz Forcada Lajusticia, dentista en Calatayud.

Para más información sobre los alineadores ORTHOCAPS haz clic en la imagen.

Clínica dental Dres.Forcada-Lajusticia, dentista en Calatayud.

Los comentarios están cerrados.